Invisalign e Faccette in ceramica

Invisalign e Faccette in ceramica

Invisalign e Faccette in ceramica 150 150 Studio Odontoiatrico Dentista a Roma

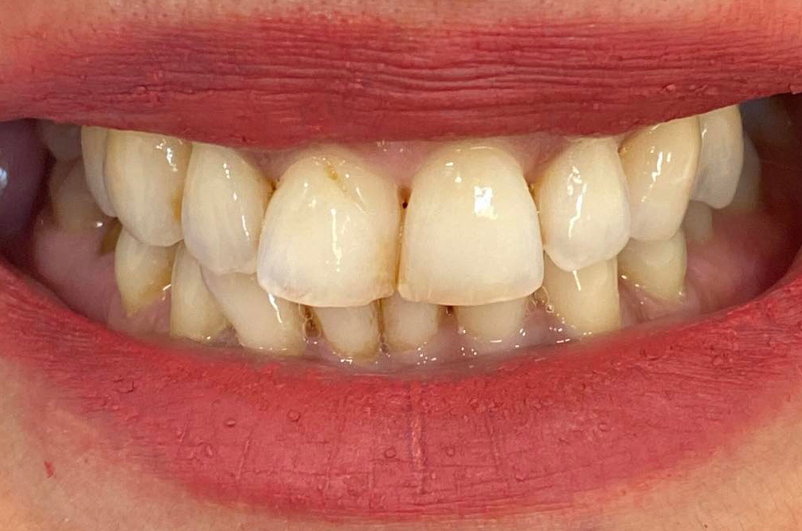
CASO CLINICO: Faccette dentali

PAZIENTE: Donna

ETÀ: 43

La paziente aveva necessità di allineare i denti e renderli bianchi .
È stato eseguito trattamento Invisalign di sei mesi e, successivamente, realizzate faccette dentali in ceramica.

  • Before-Invisalign e Faccette
    After-Invisalign e Faccette
    Prima Invisalign e Faccette Dopo

    INVIA UNA RICHIESTA

    Compila il form per ricevere maggiori informazioni o prenotare un appuntamento.

    Inviando questo modulo dichiaro di aver preso visione dell'Informativa alla Privacy di questo sito e autorizzo il trattamento dei miei dati personali ai sensi del D.Lgs 30 giugno 2003, n. 196, del D.Lgs 196/2003, art. 13 e del GDPR 679/1 art. 13. I dati personali rilasciati in questo modulo non verranno per nessuna ragione divulgati a terzi.

    Accetto

    Chiama ora