Faccette dentali su denti usurati

Faccette dentali su denti usurati

Faccette dentali su denti usurati 150 150 Studio Odontoiatrico Dentista a Roma

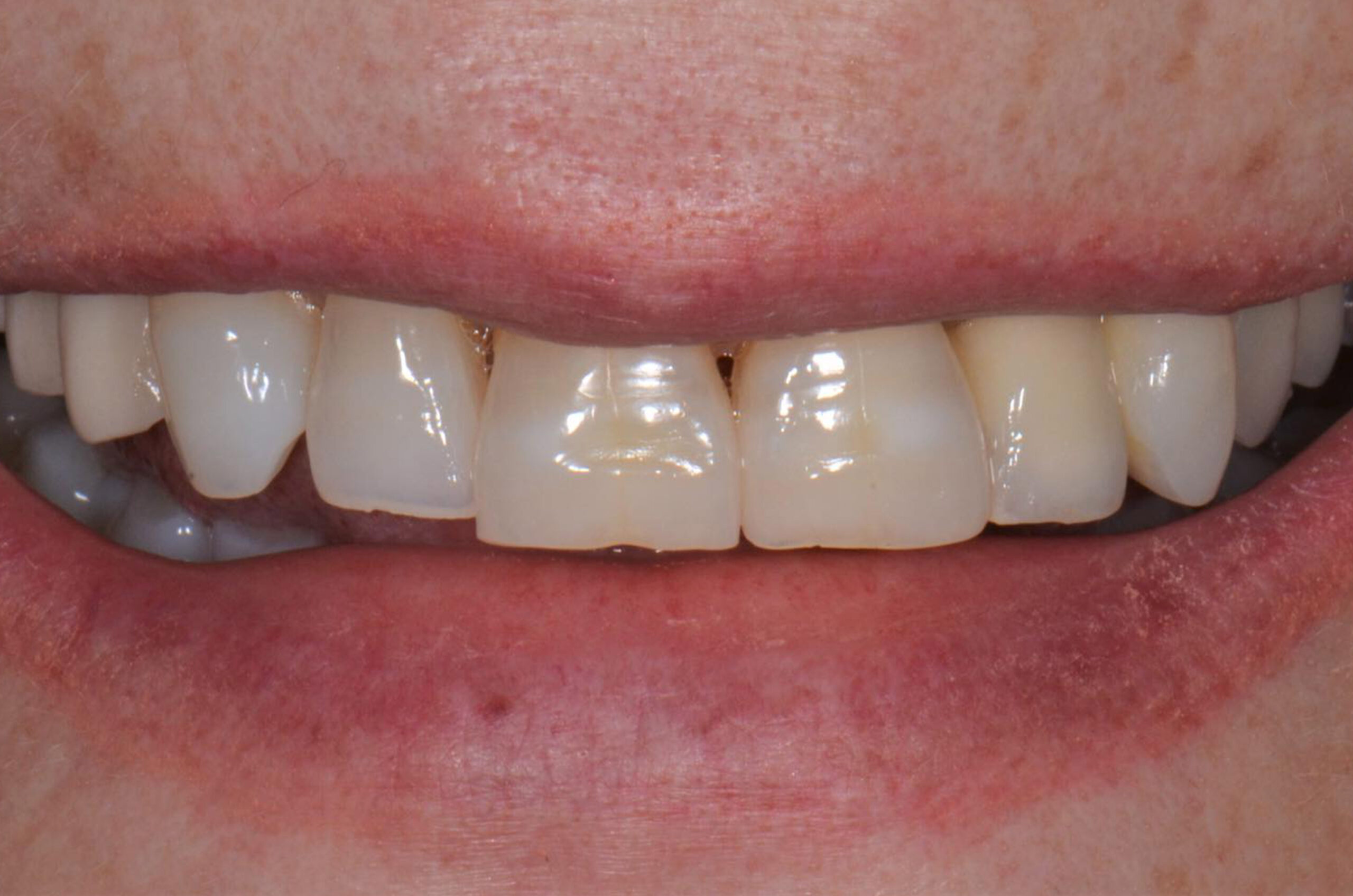
CASO CLINICO: Faccette dentali

PAZIENTE: Donna

ETÀ: 65

La paziente voleva ringiovanire i suoi denti usurati dal tempo.
Sono state utilizzate faccette dentali in ceramica.

  • Before-Faccette Dentali
    After-Faccette Dentali
    Prima Faccette Dentali Dopo

    INVIA UNA RICHIESTA

    Compila il form per ricevere maggiori informazioni o prenotare un appuntamento.

    Inviando questo modulo dichiaro di aver preso visione dell'Informativa alla Privacy di questo sito e autorizzo il trattamento dei miei dati personali ai sensi del D.Lgs 30 giugno 2003, n. 196, del D.Lgs 196/2003, art. 13 e del GDPR 679/1 art. 13. I dati personali rilasciati in questo modulo non verranno per nessuna ragione divulgati a terzi.

    Accetto

    Chiama ora